Es un nombre muy curioso para una parte del esqueleto, pero se trata, efectivamente, de uno de los huesos que tenemos en la base del cráneo y que tiene una función importantísima.
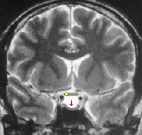
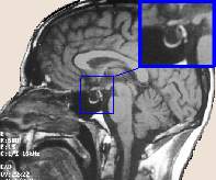
La Silla Turca forma un hueco situado en la vertiente endocraneal del hueso esfenoides.

Su nombre no es casual, pues tiene una curvatura asemejándose al asiento de una silla, con la forma exacta para cobijar y servir de alojamiento a un órgano clave en la regulación de las hormonas: la hipófisis.
Las 4 apófisis clinoides se encuentran en las 4 esquinas del surco hipofisiario.



No deja de ser curioso, sobre todo por lo de que ayuda al órgano en la regulación de las hormonas.
Me siento cómo un aprendiz del Dr. House XD muy didácticos estos posts ;-)
Saludos!!
Que inculta soy, no sabía yo de este huesecillo…
Pues fíjate que yo me pensaba que era una tortura o algo así, y resulta que es un huesecillo con una función tan importante como la que explicas.
Desde luego Andrés, contigo no se para de aprender cosas nuevas.
Un abrazo.
o.o aprendo muxo con tu blog… desconocia esto o.o
es muy interesante los temas y el cuerpo humano es muy estenso
Desconocía que teníamos una silla turca dentro de nuestro cuerpo, Andrés muy buena información…
Besos.
Es increíble el parecido que tiene a un asiento. Alguna vez he escuchado hablar de ella pero ya no me acordaba bien.
Si que aprendemos un montón…
HOLA…TENGO PROBLEMAS CON LASILLA TURCA .ME ENCONTRARON UN TUMOR ENTRE LA SIILA TURCA Y EL CEREBRO Y ME GUSTARIA MUCHO QUE ME ORIENTARA EN EL TEMA GRACIAS.
me gusta mucho el tema de anatomia y sobre todo este tipo de tema soy enfermera y amo la medicina pero quieroconseguir mas informacion sobre tumores llamados meningiomas ya que presento un familiar con un tumor de esta indole gracias
La Silla Turca es para que se siente la hipofisis… jajaja
Mi madre tiene una tumor en la silla turca hipofisis, por favor orienteme, gracias
hola quiero saber que puede ser que en unas radiografias no se ve la silla turca y se ve como una nubesilla quisiera saver si es algo maligno gracias
hola, buenos dias.. disculpen amigos, soy estudiante de medicina y tengo que exponer radiologia de hipofisis y por lo visto ustedes tienen, es muy dificil conseguir radiografias de hipofisis y no se si ustedes me podran ayudar facilitandome algunas imagenes, escaneos de vuestras radiografias..!!
les estaria eternamente agradecida.. gracias espero que me puedan colaborar..
adelgazamiento de glandula hipofisaria con ocupacion de silla turca por liquido cefalo raquideo. Silla turca vacia
adelgazamiento de glandula hipofisaria con ocupacion de silla turca por liquido cefalo raquideo. Silla turca vacia. Que significa esto en un informe de resonancia magnerica